لمینت دندان بهتر است یا کامپوزیت دندان؟
رپورتاژ آگهی
یک سوال رایج بیش از ۹۰ درصد از کسانی که می خواهند لبخند خود را بهبود بخشند این است که لمینت دندان بهتر است یا کامپوزیت؟ هر دوی این روش ها از درمان های زیبایی دندان هستند که به زیبایی و تغییر ظاهر دندان ها کمک میکنند.
تفاوت بین لمینت و کامپوزیت دندان در موادی است که از آن ساخته شده اند. این تفاوت باعث می شود مراحل این درمان ها، ویژگی های هر یک از آنها و همچنین هزینه لمینت دندان با هزینه کامپوزیت دندان متفاوت باشد.
برای تعیین اینکه کدام روش برای شما مناسب تر است باید ابتدا توسط یک متخصص دندانپزشکی معاینه شوید تا ایشان بهترین پیشنهاد را به شما بدهند. ممکن است یک یا هر دوی این درمان ها برای شما امکان پذیر باشد. گاهی اوقات نیز هیچ یک از این درمان ها امکان پذیر نیست و ممکن است بیمار نیاز به ارتودنسی یا حتی جراحی داشته باشد.

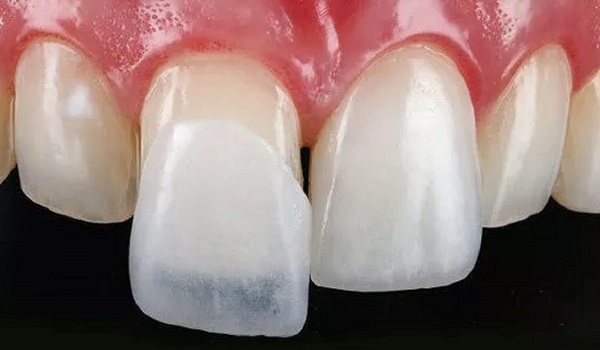
ونیر دندان چیست؟
روکش دندان یک پوسته نازک است که از دو ماده مختلف کامپوزیت و پرسلن ساخته شده است. آنها به طور مستقیم توسط دندانپزشک در طی یک جلسه (تقریباً پنج ساعت برای هر فک) درمان کم تهاجمی که در آن مقدار بسیار کمی از ساختار دندان شامل مینای دندان برای جا افتادن روکش ها تراشیده می شود، روی دندان ها قرار می گیرد.
ونیرهای کامپوزیت به دلیل رنگ پذیر بودن و شکنندگی نسبتاً بالایی ترجیح کمتری دارند. با این حال همچنان طرفداران زیادی دارد زیرا آماده شدن و نصب آن ها بر روی دندان بیمار زمان کمتری می برد و بیمار می تواند در یک جلسه لبخند زیبایی داشته باشد.
روکش های پرسلن نسبت به کامپوزیت ها کمتر مستعد لکه شدن هستند و دوام بیشتری دارند، بنابراین اگر به درستی از آنها مراقبت کنید، تا ده سال عمر می کنند. همچنین ظاهر این نوع روکش دندان بسیار طبیعی و زیبا است و معمولا از این نوع روکش برای طراحی لبخند هالیوودی استفاده می شود.
برای قرار دادن صحیح آنها روی دندان های بیمار، لازم است یک لایه نازک از مینای دندان برداشته شود و تغییرات جزئی در شکل دندان ها ایجاد شود. هدف از این تغییرات این است که روکش ها به درستی روی دندان ها قرار بگیرند و ظاهری حجیم و غیر طبیعی روی دندان ایجاد نکنند. این یک روند غیرقابل برگشت و تا حدودی دردناک است، به همین دلیل است که دندانپزشک معمولا از بی حسی موضعی برای نصب این نوع روکش دندان استفاده می کند.
هزینه ونیرهای پرسلن تقریباً دو برابر هزینه کامپوزیت دندان است. اگرچه ممکن است ونیرهای کامپوزیت زودتر آسیب ببینند، اما به راحتی قابل ترمیم هستند. در مقابل، روکش های چینی دوام بیشتری دارند اما قابل تعمیر نیستند. بنابراین در صورت شکستگی یا خرابی باید کاملا تعویض شوند.

لمینت دندان چیست؟
لمینت ها عملکردی مشابه با روکش های دندانی دارند، به همین دلیل است که این دو اصطلاح گاهی اوقات به جای هم استفاده می شوند.
لمینت ها در واقع شکل پیشرفتهای از روکش چینی هستند و هر دو از نظر عملکرد و مزایای تقریباً یکسان هستند، با این تفاوت که لمینت ها نازک تر هستند و فقط به ضخامت لنزهای تماسی هستند.
همچنین برای نصب آن ها بر روی دندان باید مقدار کمتری از مینای دندان برداشته شود. اگرچه تراش کمتر دندان برای سلامت دندان ها بهتر است، اما معایبی نیز دارد، از جمله عدم تغییر اندازه و شکل دندان ها باعث می شود لمینت ها ظاهر نسبتاً برجسته ای داشته باشند و مانند روکش های چینی طبیعی به نظر نرسند. همچنین قیمت لمینت دندان ها بیشتر از روکش های چینی است.
اگر به دنبال مراکز دندانپزشکی هستید که در عین حال که با کیفیت ترین درمان را دریافت می کنید هزینه معقولی را هم پرداخت کنید ما به شما مراکز دندانپزشکی شبانه روزی را پیشنهاد می کنیم. تعرفه های مراکز اصولا طبق تعرفه های دولتی است.

کدام درمان طبیعی تر به نظر می رسد؟ لمینت یا کامپوزیت؟
از آنجایی که ذرات پرسلن بهتر از کامپوزیت می شکند و نور را از خود عبور می دهد و همچنین به دلیل لعاب سطحی که قبل از پخت روی چینی اعمال میشود، روکش های چینی و به ویژه لمینت ها زیباتر و درخشان تر به نظر می رسند.
کامپوزیت دندان دوام بیشتری دارند یا لمینت؟
دوام هر دو بسیار به نحوه نگهداری آنها بستگی دارد. با این حال، اگر دستورالعمل های دندانپزشک را برای مراقبت از آنها دنبال کنید، دوام مورد انتظار لمینت ها و ونیرهای چینی دو برابر کامپوزیت ونیر است. طول عمر کامپوزیت ونیرهای دندانی حدود ۵ تا ۷ سال است در حالی که دوام لمینت ها و ونیرهای چینی حدود ۱۰ تا ۱۵ سال است.
ونیرهای کامپوزیت به شدت در معرض تغییرات انبساط حرارتی هستند. قطعاً به همین دلیل است که کامپوزیت ها نسبت به لمینت ها رنگ بیشتری به خود می گیرند و حتی پس از مدتی درمان ونیر دندان باعث لکه شدن لبه ها می شود. در مقابل، ویژگی بسیار مثبت لمینت ها این است که انبساط حرارتی آنها شبیه مینای دندان است. این بسیار مهم است و شاید مهمترین دلیل ماندگاری طولانی مدت لمینت ها باشد.
همچنین از آنجایی که روکش ها و لمینت های چینی در کوره آزمایشگاهی در دمای بالای ۷۰۰ درجه سانتی گراد پخته می شوند، ذرات چینی ساختاری مستحکم و بادوام را تشکیل می دهند. در مقابل، کامپوزیت با استفاده از نور آبی در دهان سخت می شود، بنابراین استحکام ونیرهای کامپوزیت به وضوح کمتر از لمینت ها و ونیرهای چینی است.